Putul de piatra nr. 1, sector 1, Bucuresti | 0744-305-852

Coroanele dentare

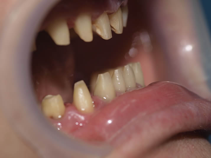
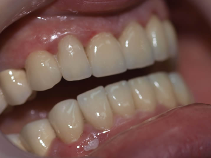
In cazul dintilor cu probleme majore (fracturati, distrusi), coroanele dentare reprezinta solutia de tratament. Prin acest tratament se pastreaza functionalitatea dintilor. Coroana are si rol estetic, corecteaza forma si reda aspectul original al dintelui. Scopul unei coroane este de a inveli un dinte cu probleme folosind un material special creat si de calitate care sa reziste in timp.

Procedura clinica
  • dintele este slefuit astfel incat coroana dentara sa poata sa fie asezata pe acesta;
  • medicul stomatolog realizeaza o amprenta, care este trimisa in laborator specializat pentru realizarea coroanei;
  • se aplica o coroana temporara pana cand este gata cea permanenta;
  • coroana permanenta este realizata de tehnicianul dentar si montata de medicul stomatolog, dupa inlocuirea coloanei temporare.

Materialul folosit in prepararea coroanelor dentare este ales impreuna cu medicul stomatolog, in functie de zona unde va avea loc lucrarea, si de rezistenta.

Rezistenta coroanelor

Durata de viata a coroanelor este determinata de respectarea normelor de igiena orala sanatoasa. Ingrijirea coroanelor se face similar cu ingrijirea dintilor normali. Mergeti la medicul dentist pentru controale dentare de rutina.

In cadrul cabinetului nostru medicul stomatolog analizeaza fiecare optiune de tratament posibil, astfel incat dumneavoastra sa beneficiati de solutia potrivita pentru problema pe care o aveti.