Putul de piatra nr. 1, sector 1, Bucuresti | 0744-305-852

Fatetele dentare

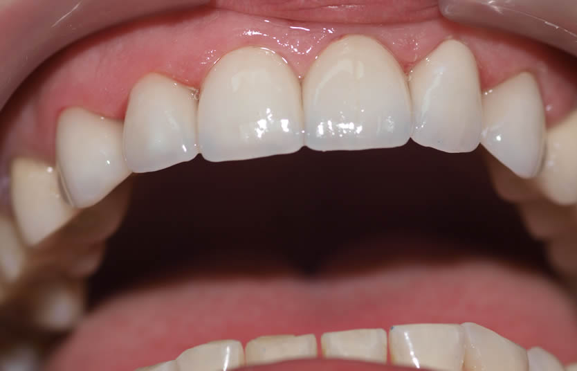
Fatetele dentare sunt folosite la corectia estetica a dintilor anteriori. Fatetele sunt fabricate din ceramica sau material compozit si se lipesc de dinte pe fata lui vizibila. Atunci cand dorim ca zambetul nostru sa fie mai stralucitor, cand avem mici modificari de pozitie ce necesita corectura, pentru cosmestizarea dintilor ciobiti sau a fisurilor este recomandat acest tratament, cu fatete dentare. Fatetele dentare sunt foarte subtiri, asemanatoare unor "unghii false".

Procedura clinica

Procedura nu este grea, insa trebuie sa se respecte cu atentie.

  • medicul slefuieste si realizeaza o amprenta pe care o trimite in laborator;
  • laboratorul proceseaza amprenta si realizeaza fateta dentara, care este aplicata de medicul stomatolog.
Rezistenta fatetelor

Fatetele dentare imbunatatesc aspectul cavitatii bucale si zambetul. Durata de viata este influentata de materialul folosit pentru realizarea fatetelor; tratamentul are beneficiul longevitatii. Prin folosirea fatetelor dentare se garanteaza un rezultat estetic foarte bun, un zambet stralucitor si dinti aliniati, simetrici.